Artificial Disc
Replacement
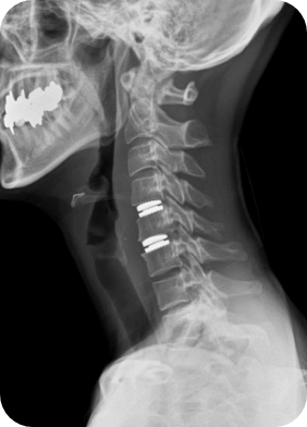
경추 인공디스크치환술
경추 인공디스크란 목디스크 환자에게서 수술후에도 분절간 운동 범위를 유지 하기 위해 시행하며, 손상된 디스크를 제거 후 이식하는 뼈 대신 인공디스크를 삽입하는 치료법입니다.
-
치료대상(적응증)
- 경추 디스크 수술 환자중 척추 분절의 운동범위를 유지 하고자 할 때

온라인 예약 문의를 남겨주세요. 최대한 빨리 답변드리도록 하겠습니다.
경추 인공디스크란 목디스크 환자에게서 수술후에도 분절간 운동 범위를 유지 하기 위해 시행하며, 손상된 디스크를 제거 후 이식하는 뼈 대신 인공디스크를 삽입하는 치료법입니다.

수술 후 정상 기능을 최대한 보존하며 목도 자유롭게 움직일 수 있는 장점이 있습니다.
피부를 최소절개한 후 신경을 누르고 있는 디스크를 제거한 뒤 인공디스크를 삽입하게 됩니다.
척추유합술과 수술법은 유사하나 인체 디스크와 유사한 인공디스크를 삽입하는 방법의 치료입니다.


환자 안전을 최우선으로 지향하여 항상 최적의 의료기술을
제공하는 것이 의료진의 기본 소명으로 생각하는 척추센터 진료팀을 소개합니다.